はやし小児歯科トップページ>診療のご案内>3.歯並び・咬み合わせの治療(咬合誘導・矯正治療)

3.歯並び・咬み合わせの治療(咬合誘導・矯正治療)


当医院では歯並びに対する処置も行っています。
歯並びは必ずしも永久歯に生え変わってから治療するものではありません。

乳歯のころから治療を開始した方が良い場合もあります。まずは健康診断を受けられることをお勧めします。(小さなおこさまの場合、歯並びに大きな異常があっても保護者の方が気づいていないことがあります。)

歯並び・咬み合わせの治療方法

歯並び治療には、治療の目的に合わせて取り外し式の装置や固定式の装置を使用します。

 
装置   装置
 
装着時   装着時

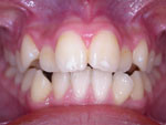
写真で見る歯並び・咬み合わせ治療

歯並び治療を行う前と後の違いを写真でご紹介いたします。

治療前   治療後
治療前    治療後 
治療前    治療後 
治療前   治療後

 

歯並び・咬み合わせの治療Q&A

まだ永久歯に生え変わっていませんが、歯並びの治療は可能ですか?

乳歯のころから治療を開始した方が良い場合もあります。

永久歯に生え変わっていない小さなおこさまの場合、歯並びに異常があっても気づきにくいケースがほとんどです。治療についても乳歯のころから治療を開始した方が良い場合もありますので、まずは受診されてください。


診療のご案内|1.虫歯・歯周病の予防|2.虫歯・歯周病の治療|3.歯並び・噛み合わせの治療|4.歯・口のケガに対する治療

はやし小児歯科トップページ|クリニック案内|施設案内|交通アクセス|サイトマップ